臨床研究
Clinical Research
脳血管障害に関する臨床研究
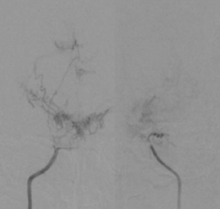
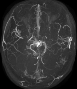
脳動脈瘤、もやもや病などの閉塞性脳血管障害、 脳血管奇形における病態研究を行っています。 特に、若年者の脳卒中の原因として近年増加傾向にある指定難病もやもや病に関しましては 長年の診療経験を踏まえて、遺伝子研究やバイパス周術期病態の解明を中心に先進的研究を推進しています。 もやもや病に対するバイパス手術はガイドラインでも標準治療として推奨されていますが、 術後急性期に局所過灌流(一時的な流れすぎ)や特異な脳虚血病態(watershed shift現象)など、 もやもや病に特徴的な病態を呈することを見出しました。 さらなる治療成績向上を目指して術後急性期の病態解明を脳循環画像やMRIを駆使して推進しています。 また、くも膜下出血の原因として重要な脳動脈瘤に関して高感度MRIを用いた動脈瘤壁イメージング(vessel wall imaging)を 駆使した動脈瘤増大・破裂に関する病態研究を進めています。





